Удаление опухоли черепа в Удмуртии
Мужчина обратился к врачам с шишкой на лбу, которая оказалась опухолью, разрушающей кость.
22 января, 2026, 12:59 3

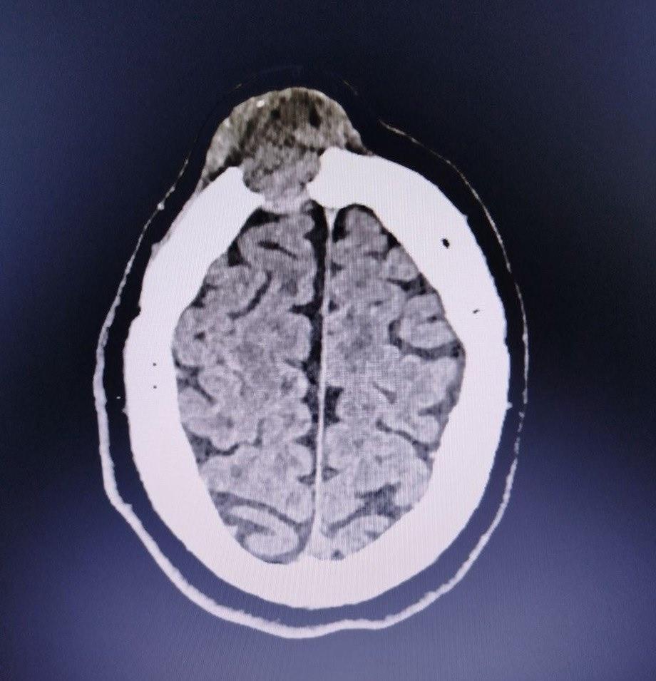
Компьютерная томография показала, что шишка на лбу пациента является опухолью головного мозга.
Источник:
В Ижевске пациент пришел в больницу №7 с образованием на лбу. По его словам, шишка появилась примерно три недели назад после удара головой и постепенно увеличивалась в размерах.
Обследование с помощью компьютерной томографии выявило опухоль головного мозга. Новообразование уже начало разрушать лобную кость черепа.
В минздраве Удмуртии отметили сложность клинического случая: «Несмотря на поверхностное расположение очага, клинический случай оказался не прост. Один край опухоли лежал над самой крупной веной мозга. Другой край образования разрушал стенки лобных пазух, создав сообщение между полостью черепа, полостью носа и далее — с внешней средой. Это всегда опасно развитием гнойных осложнений».
Пациента экстренно перевели в нейрохирургическое отделение. Хирургическое вмешательство выполнили нейрохирурги Владимир Пашкин и Ольга Мурашова. Врачам удалось полностью удалить опухоль, сохранив все важные сосуды, очистить пораженные лобные пазухи и восстановить целостность черепной кости с использованием титановой пластины.
На настоящий момент мужчину уже выписали из стационара. Его состояние оценивается как удовлетворительное.
Читайте также















